Theranostics 2026; 16(8):4306-4307. doi:10.7150/thno.128809 This issue Cite

Erratum

Improved Tumor Targeting and Longer Retention Time of NIR Fluorescent Probes Using Bioorthogonal Chemistry: Erratum

Xianghan Zhang1, Bo Wang1, Na Zhao1, Zuhong Tian3, Yunpeng Dai1, Yongzhan Nie3, Jie Tian1,2, Zhongliang Wang1 Corresponding address, Xiaoyuan Chen4

1. Engineering Research Center of Molecular-imaging and Neuro-imaging of ministry of education, School of Life Science and Technology, Xidian University, Xi'an, Shaanxi 710026, China;
2. Institute of Automation, Chinese Academy of Sciences, Beijing 100190, China;
3. Institute of Digestive Diseases, Xijing Hospital, Fourth Military Medical University, Xi'an, Shaanxi 710032, China;
4. Laboratory of Molecular Imaging and Nanomedicine, National Institute of Biomedical Imaging and Bioengineering, National Institutes of Health, Bethesda, Maryland, 20892 USA.

Published 2026-1-30

Citation:
Zhang X, Wang B, Zhao N, Tian Z, Dai Y, Nie Y, Tian J, Wang Z, Chen X. Improved Tumor Targeting and Longer Retention Time of NIR Fluorescent Probes Using Bioorthogonal Chemistry: Erratum. Theranostics 2026; 16(8):4306-4307. doi:10.7150/thno.128809. https://www.thno.org/v16p4306.htm
Other styles

File import instruction

Corrected-article in Theranostics, Volume 7, 3794

 

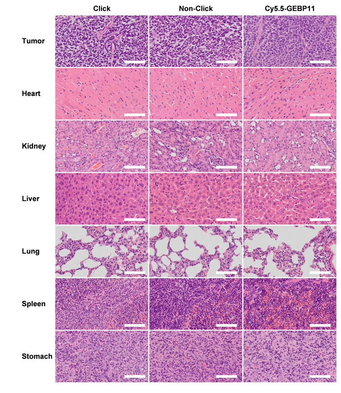
In the original version of the Supplementary Material, the H&E graph in Figure S10 was misplaced during data organization. The correct version of Figure S10 is shown below. The correction made in this erratum does not affect the original data and conclusions. The authors apologize for any inconvenience that the errors may have caused.

 Figure A 

Corrected Figure S10. Hematoxylin and eosin (H&E) pathology examinations. The heart, kidney, liver, lung, spleen and stomach of click, non-click, Cy5.5-GEBP11 groups did not show obvious structural changes. The scale bar represents 100 μm.

Theranostics Image

Author contact

Corresponding address Corresponding author: Zhongliang Wang, Email: wangzledu.cn


Citation styles

APA
Zhang, X., Wang, B., Zhao, N., Tian, Z., Dai, Y., Nie, Y., Tian, J., Wang, Z., Chen, X. (2026). Improved Tumor Targeting and Longer Retention Time of NIR Fluorescent Probes Using Bioorthogonal Chemistry: Erratum. Theranostics, 16(8), 4306-4307. https://doi.org/10.7150/thno.128809.

ACS
Zhang, X.; Wang, B.; Zhao, N.; Tian, Z.; Dai, Y.; Nie, Y.; Tian, J.; Wang, Z.; Chen, X. Improved Tumor Targeting and Longer Retention Time of NIR Fluorescent Probes Using Bioorthogonal Chemistry: Erratum. Theranostics 2026, 16 (8), 4306-4307. DOI: 10.7150/thno.128809.

NLM
Zhang X, Wang B, Zhao N, Tian Z, Dai Y, Nie Y, Tian J, Wang Z, Chen X. Improved Tumor Targeting and Longer Retention Time of NIR Fluorescent Probes Using Bioorthogonal Chemistry: Erratum. Theranostics 2026; 16(8):4306-4307. doi:10.7150/thno.128809. https://www.thno.org/v16p4306.htm

CSE
Zhang X, Wang B, Zhao N, Tian Z, Dai Y, Nie Y, Tian J, Wang Z, Chen X. 2026. Improved Tumor Targeting and Longer Retention Time of NIR Fluorescent Probes Using Bioorthogonal Chemistry: Erratum. Theranostics. 16(8):4306-4307.

This is an open access article distributed under the terms of the Creative Commons Attribution License (https://creativecommons.org/licenses/by/4.0/). See https://ivyspring.com/terms for full terms and conditions.
Popup Image